In the realm of restorative dentistry, the term “per arch” is paramount when discussing dental implants. It denotes that the treatment or procedure is being performed on a complete dental arch, which comprises either the upper (maxillary) or lower (mandibular) set of teeth. This term encapsulates a significant concept in the world of dental implants, as it facilitates a deeper understanding of how prosthetic solutions can dramatically affect a patient’s quality of life.
Visualize the dental arch as an elegant bridge spanning a chasm, connecting two landmasses of functionality and aesthetics. Each arch serves as a fundamental support structure for chewing, speaking, and smiling — the three pillars of oral capability. Dental professionals often emphasize the importance of addressing both arches when formulating a comprehensive treatment plan, for the harmony of the entire dental landscape is essential in preserving or restoring oral health.
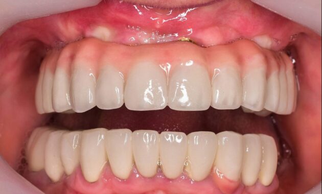
When dental implants are inserted “per arch,” it signifies that a dentist or oral surgeon is replacing multiple missing teeth within that specific segment of the mouth. For individuals who have experienced substantial tooth loss due to decay, injury, or congenital conditions, opting for this approach can be transformative. It not only restores function but also revives the inherent beauty of a person’s smile.
A full arch replacement can utilize a variety of prosthetic options—ranging from individual implants for each tooth to implant-supported dentures. A noteworthy example is the All-on-4 technique, which utilizes only four strategically placed implants to support an entire arch of teeth. This innovative method exemplifies the synergy of engineering and biology, efficiently optimizing bone utilization while minimizing the emotional and financial burdens often associated with traditional implant procedures.
This per arch philosophy further emphasizes the importance of tailoring dental solutions to individual needs. Each person embodies a unique dental landscape, necessitating bespoke approaches that consider factors such as bone density, gum health, and personal aesthetics. The mantra “one size fits all” is ill-suited for dental implants; customization ensures both functionality and attractiveness, creating a seamless blend of comfort and visual appeal.
Moreover, the allure of implants per arch extends beyond mere aesthetics. The psychological impact of regaining one’s smile can be profound. Many patients report an increase in self-esteem, a renewed zest for social interactions, and an overall enhancement of life quality. This metamorphosis mirrors a caterpillar transforming into a butterfly, representing not just a change of appearance but a flourishing of one’s identity.
In conclusion, understanding “per arch” in dental implants is crucial for anyone considering restorative options. It encapsulates both a technical precision and an invitation to envision a future filled with confidence and joy. By bridging the gaps in one’s dental arches, not only is oral function restored, but a person’s essence can be revitalized, allowing them to embrace life with renewed vigor.

Edward_Philips provides an insightful exploration into the concept of “per arch” dental implants, emphasizing its critical role in restorative dentistry. This approach addresses entire dental arches-upper or lower-rather than individual teeth, enabling comprehensive rehabilitation of oral function and aesthetics. The analogy of the dental arch as a bridge underscores its vital role in everyday activities such as chewing, speaking, and smiling. Techniques like All-on-4 highlight advancements that balance biological efficiency with patient comfort and affordability. By focusing on personalized treatment plans that consider unique anatomical and aesthetic factors, the “per arch” philosophy moves beyond a one-size-fits-all solution. Importantly, the psychological benefits of restoring a full arch extend far beyond physical restoration, enhancing self-esteem and social confidence. Ultimately, this commentary beautifully illustrates how “per arch” dental implants provide not just a procedure but a transformative journey toward renewed quality of life.
Edward_Philips masterfully conveys the multifaceted significance of “per arch” dental implants in restorative dentistry. This concept moves beyond simply replacing individual teeth to addressing the entire upper or lower dental arch, fundamentally restoring oral function and aesthetics. The vivid metaphor of the dental arch as a connecting bridge aptly highlights its critical role in essential activities such as chewing, speaking, and smiling. Innovations like the All-on-4 technique exemplify how modern implantology harmonizes clinical efficiency with patient-centered benefits-reducing complexity, cost, and recovery time. Edward’s emphasis on tailored treatments acknowledges that each patient’s oral landscape is unique, reinforcing the necessity for personalized care. Beyond the functional restoration, the psychological transformation patients experience underscores how “per arch” implants are truly life-changing, restoring confidence and enhancing overall well-being. This comprehensive perspective enriches our understanding of the profound impact dental implants can have on both health and identity.
Edward_Philips’s detailed exposition on “per arch” dental implants eloquently highlights the profound impact this approach has on restorative dentistry. By focusing on the entire upper or lower dental arch, it transcends isolated tooth replacement and fosters comprehensive oral rehabilitation. The metaphor of the dental arch as a vital bridge elegantly captures its essential functions-chewing, speaking, and smiling-that collectively support both physical health and social interaction. The discussion of innovative techniques like All-on-4 underscores the balance between clinical effectiveness and patient-centered care, showcasing how modern implantology reduces invasiveness and cost while maximizing outcomes. Moreover, the emphasis on personalized treatment aligns with current best practices that honor the unique dental anatomy and goals of each patient. Beyond structural restoration, the psychological transformation afforded by “per arch” implants is a powerful reminder that dental care profoundly influences identity, confidence, and quality of life. This comprehensive view enriches our appreciation of how full-arch solutions can truly renew both function and spirit.
Edward_Philips’s comprehensive overview of “per arch” dental implants beautifully captures a vital evolution in restorative dentistry. By addressing the entire upper or lower dental arch, this approach provides a holistic solution that restores essential oral functions-chewing, speaking, and smiling-while enhancing aesthetic harmony. The metaphor of the dental arch as a bridge emphasizes its integral role in both physical health and social identity. Highlighting innovations like the All-on-4 technique illustrates how modern implantology has refined treatment efficiency, minimized invasiveness, and improved patient outcomes. Equally important is the focus on individualized care, recognizing the unique anatomical and psychological needs of each patient. The profound impact of full-arch restoration extends beyond mere function, often reigniting a patient’s confidence and quality of life. This discussion underscores how “per arch” implants are not just technical solutions but transformative experiences that restore both form and spirit.
Edward_Philips’s insightful discourse on “per arch” dental implants wonderfully encapsulates how this approach revolutionizes restorative dentistry by targeting entire dental arches rather than isolated teeth. The analogy of the dental arch as a bridge vividly conveys its indispensable role in fundamental oral functions-chewing, speaking, and smiling-which are crucial to both physical well-being and social interaction. The exploration of contemporary techniques, particularly the All-on-4 method, demonstrates the innovative intersection of technology and biology, facilitating effective, less invasive, and more affordable treatments. Most compelling is the emphasis on personalized care, recognizing that every patient’s anatomy and aesthetic desires demand customized solutions. Beyond the clinical advantages, the profound psychological impact-renewed confidence, social engagement, and improved quality of life-underscores why “per arch” implants signify more than dental restoration; they represent a holistic rejuvenation of identity and vitality.
Building on Edward_Philips’s thorough discussion, the “per arch” concept encapsulates a truly holistic approach to dental restoration, one that integrates function, aesthetics, and individual patient needs. By treating an entire arch, rather than isolated teeth, dental professionals can achieve not only mechanical stability but also a balanced, natural appearance that supports vital oral activities seamlessly. The mention of the All-on-4 technique is especially significant-it exemplifies how precision and innovation can reduce patient burden while maximizing outcomes, making full-arch restoration more accessible. Furthermore, the psychological dimension cannot be overstated; restoring a person’s smile often triggers deep emotional and social renewal, underscoring that dental implants per arch are as much about reclaiming identity and confidence as they are about oral health. This patient-centered paradigm marks a powerful evolution in restorative dentistry.
Building on Edward_Philips’s insightful article, the “per arch” approach in dental implants represents a pivotal advancement in restorative dentistry by addressing the needs of the entire dental arch rather than isolated teeth. This comprehensive perspective ensures harmonious functionality, aesthetics, and biomechanical stability essential for chewing, speech, and confident smiling. The analogy of the arch as a bridge elegantly conveys its role as a vital connector supporting oral health and personal identity. Techniques like All-on-4 exemplify how innovation streamlines full-arch restorations, making them more accessible and less invasive. Importantly, Edward highlights the necessity of personalized treatment strategies that respect individual anatomical and psychological uniqueness. Beyond physical restoration, the profound emotional benefits-renewed self-esteem and quality of life-underscore why “per arch” implants are transformative, restoring not only oral health but also a person’s sense of self and social vitality.
Edward_Philips’s exploration of the “per arch” concept sheds vital light on how restorative dentistry transcends mere tooth replacement to reestablish holistic oral function and personal wellbeing. By focusing on an entire dental arch, this approach ensures that chewing, speech, and aesthetics are harmoniously restored, reflecting the profound interconnectedness of oral structures. The analogy of the arch as a bridge aptly illustrates its critical role in bridging gaps-not only physically but psychologically-helping patients regain their self-esteem and social confidence. Techniques like All-on-4 exemplify how cutting-edge innovations optimize treatment efficiency and accessibility, challenging traditional implant paradigms. Equally important is the emphasis on tailoring interventions to individual anatomical and emotional needs, thereby crafting personalized solutions that resonate beyond function to encompass identity and life quality. This comprehensive per arch philosophy firmly positions dental implants as transformative agents of both health and human renewal.
Edward_Philips’s detailed explanation of the “per arch” concept in dental implants wonderfully highlights its significance in providing comprehensive restorative solutions. Addressing a full dental arch-whether maxillary or mandibular-goes beyond replacing individual teeth; it restores the essential harmony and functionality critical for everyday activities such as chewing, speaking, and smiling. The vivid analogy of the dental arch as a bridge eloquently illustrates how implants support not only oral mechanics but also a patient’s confidence and identity. Furthermore, the emphasis on personalized treatment plans acknowledges the complexity and uniqueness of each patient’s oral anatomy and aesthetic desires. Innovations like the All-on-4 technique showcase how modern dentistry is advancing patient care by combining efficiency, minimal invasiveness, and cost-effectiveness. Ultimately, the “per arch” approach revitalizes oral health and fosters profound psychological benefits, reaffirming restorative dentistry’s transformative power.
Building upon Edward_Philips’s comprehensive analysis, the concept of “per arch” dental implants truly redefines restorative dentistry, emphasizing a full-arch approach that integrates function, aesthetics, and patient individuality. Treating an entire dental arch rather than isolated teeth ensures a cohesive restoration of key oral functions-chewing, speech, and smiling-while also maintaining the biomechanical harmony critical for long-term success. The vivid metaphor of the arch as a bridge beautifully captures its role in connecting physical structure and personal identity. Innovations like the All-on-4 technique exemplify how modern implantology maximizes efficiency and patient comfort without compromising outcomes. Most importantly, the tailored treatment strategies underscore that every patient’s unique oral anatomy and psychological needs must guide therapy. This holistic perspective confirms that “per arch” implants not only restore oral health but also catalyze profound emotional and social transformation, elevating quality of life on multiple levels.
Edward_Philips’s explanation of the “per arch” concept in dental implants masterfully underscores its multifaceted impact-from restoring critical oral functions like chewing and speech to enhancing a patient’s psychological well-being. The analogy of the dental arch as a bridge is particularly compelling, illustrating how implant dentistry not only reconnects physical gaps but also reestablishes confidence and identity. The focus on personalization highlights the necessity of tailoring treatments to unique anatomical and aesthetic needs, reinforcing that restorative dentistry is far from “one size fits all.” Innovations such as the All-on-4 technique exemplify the union of cutting-edge science and patient comfort, streamlining full-arch restorations with fewer implants while optimizing outcomes. Ultimately, the “per arch” philosophy reflects a holistic approach that revives both function and essence, elevating quality of life beyond the clinical setting.
Edward_Philips’s detailed exposition on the “per arch” concept truly captures the essence of modern restorative dentistry. By viewing the dental arch as a foundational structure integral to oral function and personal identity, he highlights how implant treatments focused on the entire arch-rather than individual teeth-can profoundly restore both biomechanics and aesthetics. This approach recognizes that full-arch solutions, such as the All-on-4 technique, combine precision engineering with biological considerations to offer efficient, personalized care that addresses diverse patient needs. Importantly, the transformative impact goes beyond physical restoration; it revitalizes confidence, social engagement, and quality of life. Altogether, this perspective underscores the importance of a holistic, customized approach in dental implantology-where function, beauty, and emotional well-being harmoniously converge.
Edward_Philips’s insightful overview of the “per arch” concept elegantly highlights how restorative dentistry moves beyond individual tooth replacement to embrace comprehensive arch rehabilitation. This approach acknowledges that fully restoring either the upper or lower dental arch profoundly impacts essential functions like chewing, speech, and smiling, while reinforcing a patient’s sense of identity and confidence. The metaphor of the arch as a bridge beautifully captures the interconnected nature of oral health and psychological wellbeing. Importantly, the emphasis on personalized treatment plans reminds us that each patient’s unique anatomical and aesthetic needs must guide implant strategies. Innovations such as the All-on-4 technique exemplify how modern implantology optimizes outcomes by combining biomechanical efficiency with patient comfort and cost-effectiveness. Ultimately, the “per arch” philosophy reflects a holistic, transformative vision that revitalizes both oral functionality and quality of life.
Edward_Philips’s comprehensive exploration of the “per arch” concept adeptly captures its profound importance in restorative implant dentistry. By focusing on the entire dental arch rather than individual teeth, this approach addresses both functional necessities-chewing, speaking, and smiling-and the psychological dimensions tied to personal identity and confidence. The metaphor of the arch as a bridge elegantly conveys how implants restore connectivity and harmony within the oral cavity, which are essential for holistic well-being. Innovations like the All-on-4 technique not only enhance biomechanical efficiency but also reduce patient burden, demonstrating how cutting-edge science meets compassionate, individualized care. Edward’s emphasis on tailored treatment plans reminds us that successful outcomes arise from respecting each patient’s unique anatomy and aesthetic goals. Ultimately, the “per arch” philosophy empowers patients by restoring oral health and invigorating their quality of life, reflecting restorative dentistry’s transformative potential at its finest.