Magnetic Resonance Imaging (MRI) has revolutionized the field of diagnostic imaging, providing unparalleled insights into the human body. However, what happens when an MRI shows an artifact? Are you puzzled by this phenomenon? This question invites a deeper exploration into the intricate world of MRI technology and its pitfalls.
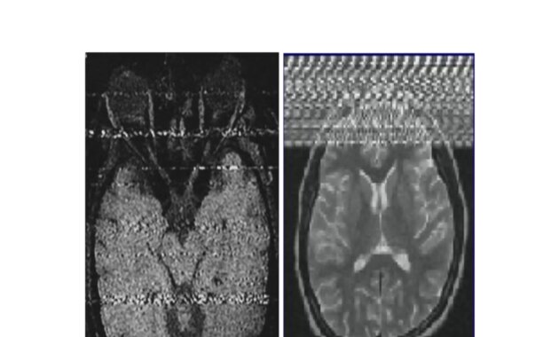
An MRI artifact is a distortion or error in the image that can obscure vital anatomical details. These artifacts can stem from various sources, such as patient movement, inadequate calibration of the MRI machine, or even external electromagnetic interference. Interestingly, the term “artifact” can mislead; it suggests something artificial or non-genuine, yet the causes are often quite tangible.
One of the most common types of MRI artifacts is the motion artifact. Imagine a patient unable to remain still during the scanning process. The motion can blur the resultant images, rendering them less diagnostic. Such blurring can mislead radiologists, potentially leading to incorrect interpretations or misdiagnoses. Patients often wonder: How can a slight movement affect such a sophisticated technology?
Another category is the magnetic susceptibility artifact, resulting from variations in the magnetic field. This artifact can occur in areas where different types of tissues meet, such as fat and water layers. The varying magnetic properties between these adjacent tissues—as seen in conditions like iron overload—can produce dark or bright lines in the images, confusing the viewer.
Moreover, equipment-related artifacts may arise from improper settings or malfunctioning hardware. For instance, certain MRI sequences may not be optimally configured, leading to issues like chemical shift artifacts, which occur when fat and water resonances create mismatched signals. Radiologists face challenges identifying the true pathology amidst these unwanted signals. Thus, how do they discern between an artifact and a genuine pathological finding?
Ultimately, the presence of artifacts serves as a stark reminder of the limitations inherent in MRI technology. They can obscure or mimic clinical conditions, necessitating a cautious approach in diagnosis. Radiologists often employ various strategies to mitigate these effects, including advanced imaging techniques or alternative modalities.
In conclusion, while MRI artifacts are a recurring challenge in radiology, they also underscore the need for continuous vigilance and adaptation within medical imaging practice. Practitioners must remain ever aware of these artifacts, ensuring accurate diagnoses while guiding patients through the complexities of MRI interpretations. Ultimately, the effectiveness of MRI as a diagnostic tool greatly depends on the ability to recognize and account for these peculiarities that some may dismiss as mere technical glitches.
